Uma criança de 3 anos morreu após engolir um objeto “estranho” em Parnamirim, na Região Metropolitana de Natal. O corpo de Levi Daniel foi sepultado no domingo (23), mas a morte dele, oficialmente registrada na quinta-feira (20), ainda intriga familiares.
De acordo com o pai da criança, o barbeiro Lairton Silva, de 31 anos, o caso não foi esclarecido pela equipe médica nem pelos legistas do Instituto Técnico-Científico de Perícia (Itep). Isso porque, os pais não sabem o que de fato causou a morte do filho uma semana após dar entrada no hospital.
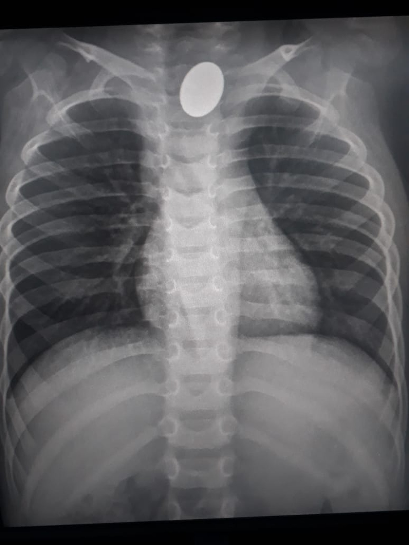
O drama da família do pequeno Levi Daniel, de apenas 3 anos, começa no domingo (16). A criança começou a apresentar uma espécie de “ronco”, que causava dificuldades para respirar. Os pais o levaram até a Unidade de Pronto Atendimento (UPA) de Parnamirim. Segundo os pais de Levi, após exame de radiografia, os médicos identificaram um objeto na garganta do garoto. Na segunda (17), ele foi transferido ao Hospital Walfredo Gurgel, em Natal, para ser submetido a uma endoscopia.

No mesmo dia, durante o procedimento para a retirada do “corpo estranho”, a criança sofreu uma parada cardiorrespiratória e foi levado à Unidade de Terapia Intensiva (UTI) com um nível baixo de oxigênio no cérebro, segundo informou a equipe médica aos pais. Na UTI, Levi permaneceu internado até a quinta-feira (20) quando faleceu por “morte encefálica”.
“Até agora nenhuma resposta clara foi dada para a gente. Nós não sabemos o que é esse ‘objeto estranho’. A gente achava que depois do laudo do Itep ia saber, mas nem o laudo diz. Perder um filho é muito angustiante e é pior ainda quando não se tem certeza do que realmente aconteceu. A gente suspeita que possa ter sido uma moeda ou peça de brinquedo, mas até agora não sabemos nada”, disse Lairton Silva, pai de Levi Daniel.
A reportagem do G1 entrou em contato com as assessorias do Hospital Walfredo Gurgel e do Instituto Técnico-Científico de Perícia (Itep), que não se pronunciaram até o fechamento desta reportagem.







