Apesar de ser um tratamento complexo e de alto custo, a Hemodinâmica de Campina Grande, que funciona no Hospital de Emergência e Trauma Dom Luíz Gonzaga Fernandes, unidade da rede de saúde do Governo da Paraíba gerenciada pela Fundação Paraibana de Gestão em Saúde (PB Saúde), realizou um procedimento inédito para o tratamento de um aneurisma de artéria ilíaca (expansão da artéria localizada na região pélvica, abaixo do abdome), praticamente não ofertado pelo Sistema Único de Saúde (SUS) em outros estados.
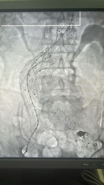
O paciente descobriu o aneurisma de 8.5cm, na artéria ilíaca interna esquerda, quando estava realizando exames pré-operatórios para o tratamento de câncer renal e próstata, no município de Patos. Por também possuir outras comorbidades como hipertensão e cardiopatia, a cirurgia convencional (onde é feita uma abertura do apêndice-xifóide até a sínfise púbica, ou seja, abrindo todo o abdome do paciente) representava um alto risco.
De acordo com o cirurgião Eduardo Roso, a técnica endovascular com Endoprótese aórtico-ilíaca (tubo expansível que faz com que o sangue deixe de circular pela bolsa formada pelo aneurisma) foi combinada com a técnica de embolização (obstrução) da artéria interna esquerda e ocorreu de forma menos invasiva. “Com apenas pequenas incisões na coxa do paciente, foi possível realizar todo o procedimento, proporcionando menores riscos e uma alta hospitalar precoce”, pontuou.
Segundo o médico Jânio Rolim, devido à alta complexidade do caso, foi necessário o encaminhamento do paciente para Campina Grande, tendo sido assistido por uma equipe composta de quatro cirurgiões, além do suporte em UTI para o pós-cirúrgico.
O superintendente da PB Saúde, Ari Reis, destacou que essa parceria entre as equipes das hemodinâmicas representa também um grande ganho para a população paraibana. “Para a realização de cirurgias mais complexas, é preciso um número maior de profissionais e com expertise nesses casos, então, ofertar esses procedimentos de alto custo pelo SUS no interior ajuda os pacientes a receber um tratamento mais próximo dos seus familiares”, enfatizou.
Artéria Ilíaca: É a artéria que é responsável por irrigar membros inferiores, bexiga, vagina, útero em mulheres, e próstata e pênis nos homens. Os aneurismas isolados de artéria ilíaca são raros, uma vez que se manifestam com mais frequência junto aos aneurismas de aorta. Dependendo do tamanho, podem se romper causando intenso sangramento no interior do abdome, sendo muitas vezes fatal.
SECOM-PB






